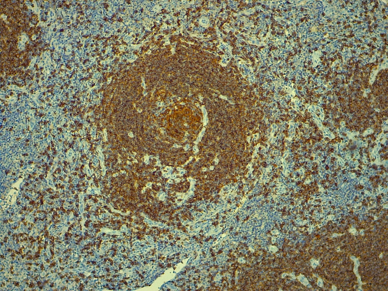
• Inmunohistoquímica Automatizada
    Estudio de Receptores Hormonales de Estrógenos y Progesterona en casos de cáncer mamario y determinación de un amplio panel de anticuerpos para clasificación de neoplasias y otras enfermedades.
  • Biopsia por congelación (Consulta Intraoperatoria)
    Análisis de tejidos obtenidos del paciente en el quirófano.
  • Inmunofluorescencia directa (piel – riñón) Detección de reacciones inmunológicas para clasificar las enfermedades ampollares y las glomerulopatías principalmente.
  • Microscopia Electrónica
  • Tipificación del Virus del Papiloma Humano (VPH) por PCR
  • Epidemiología del cáncer Desde el Laboratorio es posible efectuar el estudio del comportamiento de la enfermedad en el grupo poblacional que cubre la entidad; es una herramienta muy útil para determinar y evaluar las políticas de salud utilizando la información que genera el Laboratorio a partir de la base de datos, utilizando la epidemiología descriptiva.

servicios especiales

Capacitación a personal Médico y de enfermería en toma de citología cervicouterina y pruebas VPH, fijación, marcación, rotulación y embalaje.

Ofrecemos el servicio de recolección de muestras desde la IPS ambulatoria u hospitalaria, asegurando su adecuado transporte hasta CITOSALUD S.A.S

Descargue el resultado de patología y citología por la web

Realice el pago de copago, cuota moderadora o factura de servicios por la plataforma de pagos

Todos los derechos reservados

LABORATORIO DE PATOLOGIA

Y CITOLOGIA CITOSALUD S.A.S.

© Copyright 2021

Política de Tratamiento De Datos Personales

Developed by